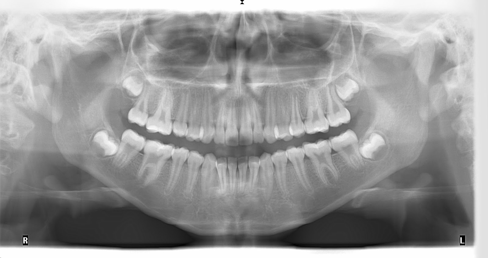
Passo a passo de como produzir uma radiografia panorâmica; vantagens e desvantagens; condições observadas através desse exame.Vídeo produzido pelos alunos de.. A ortopantomografia, também designada de radiografia panorâmica, é um exame radiológico que serve como meio auxiliar de diagnóstico, no qual se obtêm imagens do maxilar superior e inferior, tornando possível visualizar ambas as arcadas dentárias (os dentes todos), e algumas estruturas anatómicas adjacentes, nomeadamente os seios maxilares e as articulações entre a mandíbula e o.

Anatomia Radiográfica e Tomográfica aplicada à Odontologia Parte II Mandíbula XXVII Papaiz

O que é uma radiografia panorâmica? Colgate®

Radiografia Panorâmica Redimagem

A Radiografia panorâmica evidenciando estruturas radiopacas... Download Scientific Diagram

Radiografia Panorâmica Nova Imagem RX

Radiografía panorámica Novaceph

Tempo da radiografia panorâmica descubra como funciona o procedimento na prática Saevo

¿Qué se ve en una radiografía panorámica? ¿Cómo puedo entenderla? 🦷 Odontología Láser. YouTube

Radiografia Panorâmica x Tomografia Radiodoc YouTube

RADIOLOGÍA Lectura de Radiografías Panorámicas Directorio Odontológico

Radiografias Panorâmicas Definições e indicações Papaiz

Radiografía panorámica, que es y como se realiza Menedent

FUNDAMENTOS DE RADIOLOGÍA ORAL Y MAXILOFACIAL RADIOGRAFÍA PANORÁMICA

Anatomia em radiografia panorâmica YouTube

Clase de posicionamiento de radiografía Panorámica YouTube

Radiografia Panorâmica CADI Centro Avançado de Diagnóstico por Imagem

Radiografia Panorâmica Craniofacial

Radiografia panorâmica Easy Radiologia

RADIOGRAFÍAS PANORÁMICAS DENTALES Odontología Integral

Anatomia radiografia panorâmica Radiologia Odontológica
A radiografia panorâmica é muito indicada para quem tem problemas ortodônticos, isto é, disfunções no crescimento e no desenvolvimento dos dentes. O exame compõe a documentação usada pelo dentista para avaliar o caso — a partir de uma imagem dos elementos dentários e da parte óssea da boca — e, claro, indicar o melhor tratamento.. O modelo básico de um aparelho de radiografia panorâmica consiste em um tubo de imagem acoplado a um braço horizontal que pode ser direcionado para um dos lados do rosto do paciente, enquanto o braço horizontal oposto, que aponta para o outro lado, contém o filme ou detector de raios X. Normalmente, a cabeça do paciente é posicionada.